ねこのおしごと

いつでも自由気ままに生きている猫は何を思い何をするのか?TV・雑誌と各メディアに展開中!

2024-10-17から1日間の記事一覧

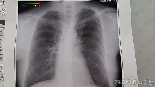
【謎の咳】1ヶ月咳が止まらない! 透明な痰がでる様になったから再び病院へ! 血液検査にレントゲンの結果は・・・

咳がヤバイ! 猫月さん定期的に謎の咳が出るのよ。 大きな病院で色々検査したけど異常無くて 結果逆流性食道炎からの刺激による咳の 可能性がって食道炎のお薬飲んだたら 超治ったの。 それ以来とりあえず他の風邪症状が 無い場合はそのお薬。 とは言え1ヶ月…