ねこのおしごと

いつでも自由気ままに生きている猫は何を思い何をするのか?TV・雑誌と各メディアに展開中!

2024-11-13から1日間の記事一覧

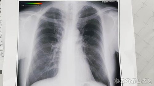
【謎の咳】治療を2ヶ月続けても咳が止まらない! 再びエコー&レントゲン撮影した結果は?

咳辛い 猫月さん持病みたいな感じて定期的に 咳が止まらなくなる病があるんだけど 大体1ヶ月程度逆流性食道炎のお薬を 飲むと治るんだよね。 なんか咳の原因は食道炎の刺激による もんだって事になってるのよ。 そんなんで1回咳が出るとその刺激で 再び咳が…