ねこのおしごと

いつでも自由気ままに生きている猫は何を思い何をするのか?TV・雑誌と各メディアに展開中!

2024-01-22から1日間の記事一覧

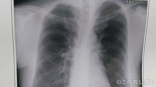
【風邪症状はまだ隔離】咳が止まらないから病院へ行って血液検査やらレントゲンやら・・・

体調悪いからスタート うーん体調が悪いです! 今年は地震から始まって体調崩して それがズルズル続いてる感じで なんともスッキリしない! なのにもう今日22日ですよ? もうすぐ1月が終わってします! 早くなぁーい? こっわ! 流石に病院行ってきた! でさ…